肺动脉栓塞,这一临床上极为凶险的急危重症,以其迅猛的发病速度和居高不下的致死率,时刻威胁着患者的生命。在这场与死神的赛跑中,每一秒都至关重要,尽早开通受阻的肺动脉血管,成为降低致死率与致残率的关键所在。
近日,自贡市第一人民医院血管外科沈俐萍主任团队凭借精湛的医术和无畏的勇气,成功上演了一场生命救援。血管外科沈俐萍主任与文飞亚医生携手,运用国内首款急性肺栓塞专用器械——Tendvia®肺动脉取栓支架系统,成功实施了一例创新取栓手术,为一位年逾古稀的老者带来了生的希望,在血管外科沈俐萍主任团队成员的紧密合作下,手术顺利完成,并达到了令人满意的效果。

一、病例基本情况
73岁男性患者,3天前拖地时,无明显诱因突发强烈头晕,伴眼前发黑、眼花、大汗淋漓,自觉胸口有严重压榨性憋闷感。发作当时,患者自行服药后症状有所缓解。此后,患者自觉体力较前明显下降,爬楼梯时心累气促症状较以往显著加重。察觉到异样后,患者前往自贡市第一人民医院门诊就诊。门诊完善心电图检查,结果提示为变性2度房室传导阻滞伴S-T改变。为了获得更精准的诊断和治疗,门诊以“冠状动脉粥样硬化性心脏病”将患者收住入院。
进一步询问病史得知,患者已与II型糖尿病相伴十多年,下肢静脉血栓病史也长达两年多。入院后,患者完善了相关检查。检查结果显示,D-二聚体测定值为4.21mg/L,纤维蛋白(原)降解产物达18.7mg/L 。肺动脉CTA检查更是发现,患者左右肺动脉多发充盈缺损。
综合各项检查结果,患者最终被明确诊断为急性肺栓塞。

二、手术计划
自贡市第一人民医院沈俐萍主任所带领的医疗团队针对患者展开了全方位、细致入微的术前评估。一方面完善心脏超声、下肢静脉超声检查,另一方面对易栓症相关指标展开全面筛查,力求不放过任何一个潜在风险点。
考虑到患者年事已高,且患有多种基础疾病,已形成下肢深静脉血栓。更为严峻的是,患者同时合并肺栓塞,坏死性肺栓塞随时可能爆发,危及生命。
面对如此复杂且棘手的病情,在充分讨论病情、权衡各种治疗方案的利弊之后,又与患者及其家属进行了深度且耐心的沟通,详细讲解每种方案的预期效果与潜在风险。综合多方面因素考量,为预防病人致死性肺栓塞发生,降低病人后期症状,降低肺动脉高压,医疗团队决定为患者实施机械血栓清除术和下腔静脉滤器植入术,选用微创介入技术开展吸栓治疗,力求以最小的创伤为患者解除病痛,助力患者术后早日康复。
三、手术器械选择
1. 血栓抽导管:
- 产品名称:Tendvia®血栓抽吸导管,规格型号:CX16;
2. 肺动脉取栓支架:
- 产品名称:Tendvia®肺动脉取栓支架,规格型号:TF-11-14。
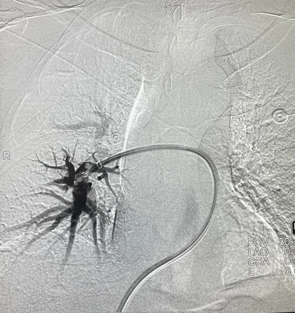
四、手术过程

患者仰卧位,后经股静脉穿刺放置血管鞘,引入导丝和导管,建立右心房-右心室-肺动脉通路。5F导管加0.035导丝经下腔静脉、右心房、右心室,进入肺动脉,交换猪尾巴导管,分别行双侧肺动脉造影。

将Tendvia®血栓抽吸导管,沿导丝推送至肺动脉。管口贴近血栓处停止,撤出导管芯。并将Tendvia®肺动脉取栓支架沿导丝通过抽吸导管向前推送,精确导入到患者的肺动脉血栓部位。再回撤输送鞘管,支架自动膨开。连接抽吸器并形成负压,回撤取栓支架的同时旋转开关释放负压。最后,Tendvia®肺动脉取栓支架捕获和收集血栓进入抽吸导管,经负压抽吸同步的作用下,顺利为患者取出了血栓。


手术结束后,依次撤除所有导管及鞘管,并对穿刺部位进行加压包扎。手术全程耗时不到60分钟,术后患者生命体征平稳,未诉任何不适,手术顺利完成,患者安全返回病房。

五、临床介绍
肺动脉栓塞(Pulmonary Embolism, PE)是指内源性或外源性栓子堵塞肺动脉引起的肺循环障碍的病理生理综合征,是临床上最凶险的急重症、心血管疾病中前三位的死亡原因。
中高危肺栓塞疾病⼀直是临床工作中的重点和难点,临床急需专用于急性大面积肺栓塞的更有效解决方案,弥补VTE防治中这一不可或缺的环节。根据2014年欧洲心脏病学会危险分层模型预测,高危肺栓塞患者30天病死率达22%,中高危患者为7.7%,中低危患者分别为6.0%,尽早开通阻塞血管,是降低其致死、致残率的关键。
上海腾复医疗科技有限公司自主研发的Tendvia®肺动脉取栓支架系统(国械注准20243031010)于2024年5月获得国家药品监督管理局(NMPA)批准上市。作为全国首款急性肺动脉栓塞专用介入器械,Tendvia®填补了我国肺动脉取栓支架治疗肺栓塞领域的空白。为广大临床医生在肺栓塞治疗领域提供了全新的选择。
作为全国首创急性肺动脉栓塞专用介入器械,具有以下四大特点:
1、高效取栓:
取栓支架+负压抽吸同步取栓,保障血栓清除效率,避免远端肺动脉分支堵塞,减少远期慢性肺栓塞肺动脉高压(CTEPH)风险。
2、独特网篮结构:
适用于附壁血栓以及大块血栓,确保全面清除。
3、大口径设计:
大腔抽吸导管搭配大口径负压专用抽吸器,取栓高效快速,缩短手术时间。
4、标准化操作:
术中操作简便,术后恢复快,并发症少,显著减少患者住院时间。

六、专家介绍

沈俐萍 主任
毕业于西南医科大学
自贡市优秀专家
自贡市第一人民医院血管外科、烧伤整形修复外科主任,副主任医师
中国微循环协会周围血管疾病专业委员会压力学组专家委员会委员
中国微循环协会周围血管疾病委员会川南分会委员
国际血管联盟(IUA)中国分部青年委员会委员
四川省医师协会血管外科医师分会委员
四川省外科专委会血管外科学组委员
四川省国际医学交流促进会血管与肿瘤专业委员会委员
四川省VTE防控联盟专家委员会委员
四川省医学会血管瘤与脉管畸形学组委员
四川省老年医学会创伤修复与组织再生专业委员会青年委员
自贡市医学会创面修复外科专委会副主任委员
专长血管外科疾病:下肢静脉曲张微创治疗,下肢动脉硬化闭塞、栓塞、糖尿病足的介入及创面修复治疗,主动脉疾病,淋巴水肿,老年痴呆的治疗。在自贡地区率先开展肢体淋巴水肿和老年痴呆手术、下肢静脉曲张微创治疗、微创腋臭手术、继发性高血压微创介入治疗、主动脉夹层和主动脉瘤外科治疗等多个新技术。多次获得自贡市新技术创新二等奖。
文飞亚 医生
专科主治医师
多次于国内著名血管外科中心进修学习,多次于国内知名血管外科中心及创面中心短期培训学习。2次获得市级新技术创新二等奖;任四川省医创会委员,中西医结合外周血管委员,自贡市医学会血管外科专委会委员等。




关注微信公众号
沪公网安备31011202021416号